BỊ ĐA NANG BUỒNG TRỨNG CÓ MANG THAI ĐƯỢC KHÔNG?
Ngày đăng: 23.03.2026
Bệnh nhân hỏi: “Bác sĩ ơi, kinh nguyệt của em rất thất thường, có khi 2 – 3 tháng mới thấy một lần. Đi khám thì được nói là bị đa nang buồng trứng. Em hoang mang lắm, không biết mình còn có thể mang thai được không?”

Hội chứng buồng trứng đa nang là một rối loạn nội tiết khá phổ biến ở phụ nữ trong độ tuổi sinh sản. Tình trạng này gây mất cân bằng hormone, rối loạn phóng noãn và dẫn đến chu kỳ kinh nguyệt không đều.
Bị đa nang buồng trứng có mang thai được không?
Câu trả lời là CÓ.
Phụ nữ mắc buồng trứng đa nang vẫn có thể mang thai. Tuy nhiên, khả năng có thai tự nhiên có thể giảm so với người có chu kỳ rụng trứng đều đặn. Lý do là bởi:
- Căn bệnh này khiến trứng phát triển dở dang, không rụng hoặc rụng rất thưa. Trứng không rụng đồng nghĩa với việc quá trình thụ thai không diễn ra.
- Ở phụ nữ mắc hội chứng buồng trứng đa nang, nội mạc tử cung cũng có thể suy giảm khả năng tiếp nhận phôi. Vì vậy, ngay cả khi trứng được thụ tinh, phôi vẫn có thể khó làm tổ hoặc phát triển không thuận lợi. Hệ quả là khó thụ thai hoặc tăng nguy cơ sảy thai sớm.
- Chu kỳ kinh nguyệt thất thường khiến chị em khó xác định đúng ngày rụng trứng. Quan hệ lệch “thời điểm vàng” làm giảm cơ hội mang thai tự nhiên

Dấu hiệu nào cho thấy nữ giới bị đa nang buồng trứng?
Không phải ai bị buồng trứng đa nang cũng có biểu hiện giống nhau. Tuy nhiên, một số dấu hiệu thường gặp gồm:
- Kinh nguyệt thưa, không đều, có khi vài tháng mới có một lần
- Khó có thai dù quan hệ đều và không dùng biện pháp tránh thai
- Tăng cân, tăng mỡ vùng bụng
- Da nhờn, nổi mụn nhiều
- Rậm lông ở mặt, ngực, bụng hoặc tay chân
- Tóc thưa, rụng tóc kiểu nội tiết
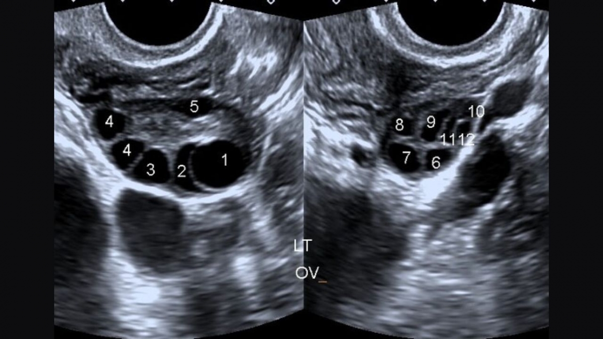
- Siêu âm thấy hình ảnh buồng trứng có nhiều nang nhỏ

Đặc biệt, cần đi khám ngay nếu có các dấu hiệu bất thường như:
- Ra máu âm đạo kéo dài, ra máu nhiều bất thường
- Đau bụng dưới dữ dội hoặc đau tăng dần
- Chậm kinh kèm đau bụng, ra huyết bất thường
- Choáng, mệt lả, ngất
- Tăng cân mất kiểm soát, khát nhiều, tiểu nhiều, nghi ngờ rối loạn đường huyết
Bị đa nang buồng trứng thì cần làm gì nếu muốn có thai?
Người bệnh buồng trứng đa nang nên bình tĩnh và tuân thủ đúng các chỉ định của bác sĩ chuyên khoa:
Điều chỉnh lối sống khoa học
- Giảm cân khoa học nếu đang thừa cân hoặc béo phì để cải thiện khả năng rụng trứng.
- Áp dụng chế độ ăn lành mạnh theo hướng ít đường, ít tinh bột nhanh. Vổ sung nhiều thực phẩm giàu chất xơ, đạm và chất béo tốt.
- Tập luyện yoga, đi bộ nhanh, cardio,… ít nhất 30 phút/ngày
- Nghỉ ngơi đầy đủ, ngủ đủ 7 – 8 tiếng/đêm và hạn chế thức khuya
- Thư giãn tinh thần, tránh căng thẳng, lo âu và stress kéo dài
Theo dõi và kích thích rụng trứng
Nếu người bệnh ít hoặc không rụng trứng, bác sĩ có thể chỉ định thuốc hỗ trợ phóng noãn. Ngoài ra, nếu bệnh nhân mắc chứng rối loạn đường huyết hoặc nội tiết bất thường thì sẽ được dùng thêm thuốc để kiểm soát bệnh.
Song song với đó, bác sĩ sẽ theo dõi quá trình rụng trứng bằng phương pháp:.
- Siêu âm nang noãn
- Que thử LH (chỉ mang tính tham khảo)
Kết hợp với quan hệ đúng “thời điểm vàng” sẽ giúp tăng khả năng thụ thai tự nhiên.
Hỗ trợ sinh sản khi cần thiết
Trường hợp điều trị một thời gian (từ 6 tháng – 1 năm) mà chưa có thai, nên cân nhắc các phương pháp hỗ trợ sinh sản phù hợp:

- Bơm tinh trùng (IUI): Là phương pháp đưa trực tiếp tinh trùng đã được chọn lọc vào tử cung của người phụ nữ vào đúng thời điểm rụng trứng. Nhờ đó, tinh trùng sẽ “rút ngắn quãng đường” di chuyển và tăng cơ hội gặp trứng.
- Thụ tinh trong ống nghiệm (IVF): Là phương pháp thụ tinh nhân tạo trong phòng lab, sau đó nuôi phôi và chuyển lại vào tử cung. Nhờ đó, các bác sĩ có thể chủ động kiểm soát quá trình thụ tinh, giúp tăng tỷ thành công so với IUI.
Phụ nữ bị đa nang buồng trứng mang thai rồi có nguy hiểm hơn không?
Không phải ai bị buồng trứng đa nang khi mang thai cũng gặp biến chứng. Tuy nhiên, nhóm này có thể có nguy cơ cao hơn một số vấn đề như:
- Sảy thai sớm
- Đái tháo đường thai kỳ
- Tăng huyết áp thai kỳ
- Tiền sản giật, đặc biệt nếu có thừa cân, béo phì hoặc rối loạn chuyển hóa đi kèm.
Vì vậy, khi đã mang thai, người bệnh nên khám thai đúng lịch, kiểm soát cân nặng hợp lý, theo dõi đường huyết và huyết áp sát hơn theo hướng dẫn của bác sĩ.
Đa nang buồng trứng có chữa khỏi được không?
Không thể. Bởi đây là tình trạng rối loạn mạn tính, không thể khỏi hẳn nếu chỉ dùng thuốc. Tuy nhiên, bệnh có thể kiểm soát tốt nếu người bệnh tuân thủ hướng dẫn điều trị của bác sĩ chuyên khoa.
Mục tiêu điều trị không chỉ là giúp người bệnh mang thai thành công, mà còn là điều hòa kinh nguyệt, hạn chế rối loạn nội tiết. Đồng thời giảm nguy cơ rối loạn đường huyết và bảo vệ sức khỏe sinh sản lâu dài.
Thực tế, rất nhiều bệnh nhân sau khi thay đổi lối sống và điều trị đúng đã có chu kỳ ổn định hơn, rụng trứng tốt hơn và mang thai khoẻ mạnh.
Phụ nữ bị đa nang buồng trứng vẫn có thể mang thai, nhưng khả năng thụ thai có thể bị ảnh hưởng. Tin vui là nếu được phát hiện sớm, theo dõi đúng và điều trị phù hợp, nhiều chị em vẫn có cơ hội làm mẹ như mong muốn. Mọi thắc mắc về vấn đề này vui lòng liên hệ số hotline 0969 668 152 để được tư vấn trong thời gian sớm nhất.





